El efecto del composite calentado en la práctica clínica: caso de restauración dental con composite
Han pasado muchos años desde que nos familiarizamos con el concepto de composite calentado.
Por experiencia, el calentamiento produce un composite más fluido que se adapta más fácilmente al sustrato. Esto se aplica tanto si el sustrato está adherido a la estructura dental como a otro material restaurador o a la reparación de materiales indirectos (pequeños defectos).
En mi experiencia, la colocación del composite es más rápida cuando está calentado, ya que requiere menos manipulación para asegurar una buena adaptación entre el sustrato y el composite. Los márgenes lisos y ajustados son esenciales para prevenir la decoloración, la microfiltración y las caries secundarias.
Cuando la adhesión entre capas de composite sencilla, es menos probable que aparezcan porosidades, y el acabado/pulido del composite estético puede ser más fácil y rápido.
En otoño de 2025, se lanzó el calentador de composite Solventum™ Filtek™ (Foto 1a), específicamente diseñado para restauraciones dentales Filtek™. No solo es compacto, estéticamente agradable y fácil de manejar, también es eficiente y práctico. Solo dos minutos después de precalentar el dispositivo, las cápsulas de composite están completamente calentadas y listas para usar.
Además, la parte superior del calentador de composite (Foto 1b) se puede desmontar y colocar sobre la mesa del sillón dental para acceder a él con mayor facilidad durante la colocación. Esta es una de las mayores ventajas de este nuevo producto. La sección desmontable es compacta y ocupa un espacio mínimo en la mesa del sillón dental. El calentador tiene pocos botones, su uso es muy intuitivo y se puede desinfectar. Si desea calentar composite fluido, hay espacio para una jeringa de fluido junto a seis cápsulas de composite.


Algunos restauradores Filtek™ en cápsulas y jeringas de fluido son adecuados para calentar hasta una hora a 70 °C. Cuanto más duro sea inicialmente el composite, mayor será el beneficio de calentarlo.
3M™ Filtek™ One Bulk Fill Restorative es un material bien conocido y ampliamente utilizado. Aquí, el calentamiento es particularmente ventajoso, ya que este material relativamente firme se vuelve mucho más fluido y fácil de manejar. 3M™ Filtek™ Universal Restorative, 3M™ Filtek™ Easy Match Universal Restorative y 3M™ Filtek™ Supreme XTE Universal Restorative son otros materiales que he calentado con éxito a lo largo del tiempo. La temperatura puede ajustarse dependiendo de cuánto tiempo permanezca la cápsula en el calentador. Especialmente para reconstrucciones estéticas más grandes en el sector anterior, es útil controlar el grado de fluidez según la preferencia del clínico. Con el calentador de composite en la mesa del sillón junto al paciente, la cápsula se puede retirar fácilmente antes de que pasen dos minutos o dejarse brevemente sobre la mesa antes de usarla si se desea una viscosidad ligeramente mayor.
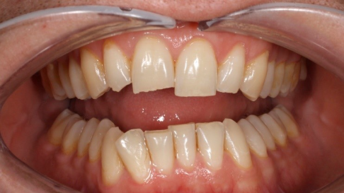
El siguiente caso demuestra un tratamiento realizado utilizando 3M™ Filtek™ Supreme XTE Universal Restorative calentado en una técnica de estratificación con colores de Body, dentina y esmalte. El paciente no quería blanqueamiento, pero deseaba mantener el color natural de los dientes. Los laterales superiores eran estrechos (Foto 2a) y el paciente los quería más anchos. Aumentar el ancho de los laterales también mejoró la relación entre arcadas según el análisis de Bolton. El paciente presentaba desgaste, principalmente por atrición en varios dientes, así como apiñamiento, particularmente en la región anterior mandibular alrededor del diente 42. Antes del tratamiento con composite, se realizó ortodoncia con 26 alineadores para posicionar los dientes según lo deseado. Esto creó espacio alrededor de los laterales (Foto 2b) para remodelar. Los centrales y los caninos se trataron con adhesión de bordes.

Foto 2a

Foto 2b
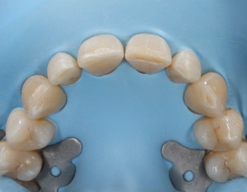
Los laterales se construyeron utilizando matrices Bioclear™ (Foto 3a). Aquí, la fluidez adicional y la fácil adaptación al sustrato fueron ventajosas. Las restauraciones se colocaron con una capa delgada de composite fluido en la base, gingivalmente contra los dientes adyacentes, y el composite se calentó para las reconstrucciones mesiales y distales. Todos los dientes recibieron el mismo pretratamiento con dique de goma (Foto 3b), arenado con óxido de aluminio de 30 μm, grabado con ácido fosfórico y adhesión con adhesivo 3M™ Scotchbond™ Universal Plus. Para evitar que el material se adhiriera a los instrumentos y pinceles de composite, se utilizó líquido modelador para composites y se aplicó glicerina para evitar la inhibición del oxígeno antes de polimerizar la capa final.

Foto 3a

Foto 3b
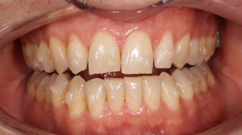
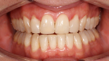
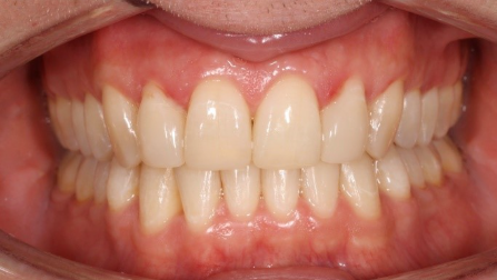
Las imágenes clínicas postoperatorias (Fotos 4a/4b) muestran al paciente el día después del tratamiento con composite.
Los dientes están rehidratados y han recuperado su color natural.

Foto 4a

Foto 4b
Productos recomendados
Calentador de composite Solventum(TM) Filtek(TM)

Composite 3M™ Filtek™ One Bulk Fill

Composite 3M™ Filtek™ Universal


Composite 3M™ Filtek™ Supreme XTE Universal

Adhesive 3M™ Scotchbond™ Universal Plus

Sobre la Dra. Ida Louise Line
La Dra. Ida Louise Line se graduó en Odontología en 2007 y trabaja en la clínica dental Colosseum en Tønsberg (Noruega). Lleva a cabo todos los tratamientos de odontología general, con un enfoque especial en pacientes con ansiedad dental.

Artículo publicado por un distribuidor certificado de Solventum