La enfermedad periodontal es muy frecuente en pacientes adultos con maloclusiones, un 70% de los adultos presenta enfermedad periodontal en alguna de sus formas. los más comunes consisten en migración dental, extrusión dental y recesiones gingivales.1
Es importante mantener un control y reeducación adecuada de los pacientes con enfermedad periodontal previo a cualquier tratamiento de ortodoncia, restaurando y manteniendo la salud de los tejidos de soporte.
Se presenta el caso de una paciente clase I molar bilateral, apiñamiento anteroinferior severo, presencia de prótesis fija superior de piezas 14 a 23 presentando movilidad grado III en pieza 41. El objetivo de este reporte es analizar la eficacia de los alineadores en el tratamiento de pacientes con enfermedad periodontal en casos con cierre de espacio anterior.
INTRODUCCIÓN
Casi un 55% de los individuos ha experimentado problemas periodontales en algún momento de su vida, la prevalencia de enfermedad periodontal moderada representa un 35-41% y un 10-40% para la enfermedad periodontal severa. Hoy en día se registra un aumento de la incidencia de enfermedad periodontal en pacientes menores a 30 asociado a factores sistémicos y estrés.1
A pesar de la eficacia de las técnicas de ortodoncia fija multibrackets para la corrección de malposiciones dentales, este tipo de tratamiento dificulta la higiene dental e interproximal debido a la presencia de arcos, bandas, brackets y ligaduras, ocasionando la acumulación de biofilm dental que conduce a la aparición de caries incipientes e inflamación gingival durante y al finalizar el tratamiento.1-2
Para comparar los resultados de tratamientos realizados con alineadores y ortodoncia fija se han realizado múltiples estudios con algunos ensayos clínicos aleatorizados (ECA). Estos trabajos han demostrado mayor satisfacción y tolerancia en los pacientes tratados con alineadores relacionado a mayor comodidad durante las comidas, menos lesiones en mucosa oral y al movimiento segmentado de las piezas con estadificación precisa de los movimientos que permiten colocar los dientes estratégicamente minimizando así las fuerzas de reacción en los dientes adyacentes combinando etapas donde se moverán algunas y luego se utilizaran de anclaje brindando mayor cantidad de tiempo al periodonto para remodelarse y consolidar la nueva posición disminuyendo la cantidad de exudado inflamatorio provocado por la compresión generada por el movimiento. 3-17
El tratamiento de ortodoncia es un enfoque reconocido para apoyar problemas periodontales específicos gracias a su capacidad para manipular los tejidos periodontales. Los alineadores permiten planificar los movimientos dentales en 3D, la ubicación de la raíz, la etapa y el rango de movimientos dentales, junto con la mejora de la higiene bucal. Por lo tanto, los alineadores pueden ser adecuados para el tratamiento de problemas periodontales. Dichos pacientes pueden ser tratados con ortodoncia si la enfermedad periodontal se ha mantenido bajo control. Sin embargo, cuando planeamos movimientos de dientes con soporte periodontal reducido, es crucial considerar algunos factores importantes, como el rango de movimientos de los dientes y la magnitud de las fuerzas ortodóncicas. El manejo de los problemas periodontales requiere una evaluación cuidadosa por parte de un equipo compuesto por un ortodoncista, un periodoncista y un higienista dental para definir la mejor estrategia de tratamiento y el momento adecuado para el movimiento de los dientes.18-19
CASO CLÍNICO
EVALUACIÓN FACIAL
Paciente femenina de 50 años de edad concurre a la consulta debido a la presencia de apiñamiento en la arcada inferior que dificulta la higiene interproximal y movilidad de la pieza 41.
Al examen extraoral presenta línea de sonrisa media con exposición adecuada de los incisivos superiores e inferiores, compresión de los sectores medios acentuada en el cuadrante II presentando pasillos bucales asimétricos.
Perfil recto y tercios faciales simétricos.
ANÁLISIS RADIOGRÁFICO
En la ortopantomografía observamos perdida ósea horizontal severa generalizada, ausencia de las piezas 18,17 y pieza 13 retenida mesioangulada en posición palatina y senos maxilares neumatizados.
En la telerradiografía de perfil observamos Clase II esqueletal con una convexidad de 2.5mm, incisivo superior (34º) e inferior (27º) proinclinados de acuerdo a la cefalometría de Ricketts, patrón mesofacial de acuerdo al VERT y vías aéreas disminuidas.


EVALUACIÓN DE LAS ARCADAS
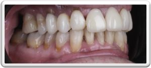
La paciente presenta clase I molar bilateral con presencia de restauración fija anterior de pieza 14 a 23. Arcadas comprimidas con forma triangular acompañadas de apiñamiento anteroinferior severo.
Resalte y sobremordida aumentados. Líneas medias dentarias centradas
Cabe destacar que la pieza 41 presenta movilidad de grados III con indicación de extracción.




PLANIFICACIÓN DEL TRATAMIENTO
El tratamiento se ha realizado con alineadores (SecretAligner)planificando en el visor dinámico expansión posterior e IPR selectivo corregimos apiñamiento anterior y descomprimimos sectores posteriores mejorando estética y forma de arcada.
Se realizado la exodoncia de la pieza 41 al iniciar el tratamiento manteniendo la pieza como póntico virtual en los alienadores camuflando la ausencia con materiales estéticos.
En el sector antero inferior se planificó contracción y torque negativo mejorando la posición de las piezas con respecto a sus bases óseas.
Se utilizó un protocolo de fuerzas periodontales disminuyendo la fuerza realizada en cada alineador para darle tiempo al periodonto a su remodelación y consolidación.
El plan de tratamiento inicial consistió en alineadores 12 superiores y 25 inferiores.




FINALIZACIÓN DEL CASO
Hemos mejorado el perímetro de la arcada corrigiendo el apiñamiento anterior, aumentamos la estabilidad periodontal de las piezas inferiores mejorando su inclinación(24º) mediante la mecánica de compresión conformando una correcta guía anterior.
El tiempo total del tratamiento fue de 9 meses y medio. Colocamos retención removible, es decir Essix superior e inferior tipo (SecretReteiner) para mejorar el control de placa por parte del paciente.




CONCLUSIÓN
La técnica del alineador incluye características como el control 3D efectivo del movimiento dental y la colocación de la raíz, así como la posibilidad de planificar la etapa y el rango de movimientos dentales, mejores estándares de higiene bucal y movimientos dentales seguros incluso en casos con soporte periodontal reducido.
Por lo tanto, si bien es cierto que el diagnóstico y la planificación biomecánica sirven como base para el plan de tratamiento de ortodoncia, el desarrollo digital proporciona al ortodoncista herramientas efectivas que facilitan el manejo de casos complejos.
BIBLIOGRAFÍA
-
- Alajmi S, Shaban A, Al-Azemi R. Comparison of short-term oral impacts experienced by patients treated with Invisalign or conventional fixed or- thodontic appliances. Medical Principles and Practice. 2019.
- Mampieri, G., Condò, R., Di Caccamo, G., Pirelli, P., & Giancotti, A. (2022). Clear Aligner Treatments in Orthoperio Patients. Case reports in dentistry, 2022, 8932770. https://doi.org/10.1155/2022/8932770
- Mortazavi M, Naeim M, Badri A, Sharifi R, Hasheminasab M; An updated systematic review on the effectivity of clear aligner therapy: A review. J Craniomax Res 2020; 7(4): 165-177
- Krieger E, Seiferth J, Marinello I, Jung BA, Wriedt S, Jacobs C, et al. Invisalign® treatment in the anterior region. Journal of Orofacial Orthope- dics/Fortschritte der Kieferorthopädie. 2012; 73(5):365-76.
- Elhaddaoui R, Qoraich HS, Bahije L, Zaoui F. Or- thodontic aligners and root resorption: A sys- tematic review. International orthodontics. 2017; 15(1):1-12.
- Rossini G, Parrini S, Castroflorio T, Deregibus A, Debernardi CL. Efficacy of clear aligners in controlling orthodontic tooth movement: a systematic review. The Angle Orthodontist. 2015; 85(5):881- 9.
- Iliadi A, Koletsi D, Eliades T. Forces and moments generated by aligner‐type appliances for orthodontic tooth movement: A systematic review and meta‐analysis. Orthodontics & Craniofacial Research. 2019; 22(4):248-58.
- Zheng M, Liu R, Ni Z, Yu Z. Efficiency, effectiveness and treatment stability of clear aligners: A systematic review and meta‐analysis. Orthodontics & craniofacial research. 2017; 20(3):127-33.
- Robertson L, Kaur H, Fagundes NCF, Romanyk D, Major P, Flores Mir C. Effectiveness of clear align- er therapy for orthodontic treatment: A system- atic review. Orthodontics & craniofacial research. 2019.
- Charalampakis O, Iliadi A, Ueno H, Oliver DR, Kim KB. Accuracy of clear aligners: A retrospective study of patients who needed refinement. American Journal of Orthodontics and Dentofacial Orthopedics. 2018; 154(1):47-54
- Kankam H, Madari S, Sawh-Martinez R, Bruck- man KC, Steinbacher DM. Comparing outcomes in orthognathic surgery using clear aligners versus conventional fixed appliances. Journal of Cranio- facial Surgery. 2019; 30(5):1488-91.
- Sfondrini MF, Gandini P, Castroflorio T, Garino F, Mergati L, D’Anca K, et al. Buccolingual inclination control of upper central incisors of aligners: a comparison with conventional and self-ligating brackets. BioMed research international. 2018; 2018.
- Lanteri V, Farronato G, Lanteri C, Caravita R, Cossellu G. The efficacy of orthodontic treatments for anterior crowding with Invisalign compared with fixed appliances using the Peer Assessment Rating Index. Quintessence Int. 2018; 49(7):581-7.
- Gu J, Tang JS, Skulski B, Fields Jr HW, Beck FM, Firestone AR, et al. Evaluation of Invisalign treat- ment effectiveness and efficiency compared with conventional fixed appliances using the Peer Assessment Rating index. American Journal of Orthodontics and Dentofacial Orthopedics. 2017; 151(2):259-66.
- Dai F-F, Xu T-M, Shu G. Comparison of achieved and predicted tooth movement of maxillary first molars and central incisors: First premolar ex- traction treatment with Invisalign. The Angle Or- thodontist. 2019; 89(5):679-87.
- Azaripour A, Weusmann J, Mahmoodi B, Peppas, Gerhold-Ay A, Van Noorden CJ, Willershausen B. Braces versus Invisalign®: gingival parameters and patients’ satisfaction during treatment: a cross sectional study. BMC Oral Health (2015) 15: 69.
- Abbate GM, Caria MP, Montanari P, Mannu C, Orrù G, Caprioglio A, Levrini L. Periodontal health in teenagers treated with removable aligners and fixed orthodontic appliances. J Orofac Orthop 2015; 76: 240-250.
- Rainer-Reginald Miethke, Silke Vogt. A comparison of the periodontal health of patients during treatment with the Invisalign® system and with fixed orthodontic appliances. J Orofac Orthop 2005; 66: 219–229.
- Turatti G, Womack R, Bracco P. Incisor Intrusion with Invisalign®. Treatment of an adult periodontal pacient. JCO 2006 Mar; 40 (3): 171-4.

