BT2 – Un dispositivo esencial para simplificar el tratamiento de la sobremordida profunda y maloclusiones asimétricas.
El nuevo dispositivo miniaturizado BT2 ha sido diseñado para tratar la sobremordida profunda esquelética severa y las maloclusiones asimétricas.
En las aplicaciones clínicas, el BT2 se posiciona y fija por el lado palatino de los incisivos centrales superiores, ubicados en el tercio incisal de las coronas.
El BT2 es un dispositivo central de un sistema de 4 componentes para tratar el cierre mandibular esquelético severo con sobremordida profunda.
El segundo componente es el bracket activo autoligable; el tercer componente incluye los nuevos alambres iniciales i-Arch con fuerzas ligeras, que tienen una dimensión vertical mayor que la horizontal. Esto se usa para mejorar los movimientos de torque más cerca del centro de resistencia de los incisivos superiores e inferiores. El cuarto componente del sistema incluye 2 elásticos verticales en los segmentos bucales, en patrones de rombo desde los caninos y primeros molares superiores hasta los primeros premolares e incisivos inferiores.

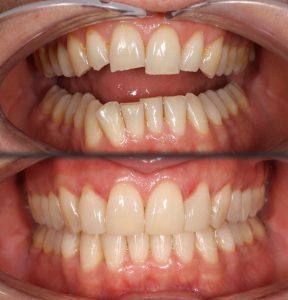
Resultados clínicos
Se encontró que los BT2 metálicos prefabricados eran altamente eficientes en el consultorio y efectivos para la Corrección Rápida de Mordida (RBC) y la disclusión posterior.

Conclusión
Se recomienda el uso de BT2 para la apertura rápida de sobremordidas durante un mínimo de 4 a 6 meses, ya que elevan la dimensión vertical automáticamente y reducen la hiperactividad muscular para permitir la extrusión de los segmentos bucales en el espacio libre excesivo. Además, este elevador de mordida ayuda a reducir la asimetría, trasladando el lado izquierdo de Clase II completa a una relación borde a borde, mejorando la alineación de la línea media.

ProArtículo publicado por un Distribuidor Certificado de SIA