
¡Mira cómo el Dr. Chiodera resolvió este caso!
Explora el caso del Dr. Chiodera utilizando cemento de resina 3M™ RelyX™ Universal y adhesivo 3M™ Scotchbond™ Universal Plus para un procedimiento de trabajo simplificado.
Sobre el caso
Cementación autoadhesiva de poste y corona 3M Health Care ahora es Solventum.
- Un molar tratado endodónticamente de un paciente varón de 45 años fue restaurado con un muñón con poste de fibra y una corona de circonio monolítica.
- El cemento de resina 3M™ RelyX™ Universal , se utilizó para la colocación autoadhesiva tanto del poste como de la corona final.
- El adhesivo 3M™ Scotchbond™ Universal Plus, y el composite 3M™ Filtek™ One Bulk Fill, se utilizaron para la reconstrucción del muñón.

Prueba de ajuste del poste para evaluar la longitud.

Aplicación de cemento de resina 3M™ RelyX™ Universal, al conducto radicular con cánula de elongación.

Fotocurado después de colocar el poste y retirada del exceso de cemento.

Aplicación de adhesivo 3M™ Scotchbond™ Universal Plus para la reconstrucción del muñón.

Aplicación de aire al adhesivo 3M™ Scotchbond™ Universal Plus.

Fotocurado del adhesivo 3M™ Scotchbond™ Universal Plus.

Aplicación del composite 3M™ Filtek™ One Bulk Fill.

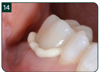
Reconstrucción del muñón después del fotocurado.

Preparación final.

Limpieza de la preparación en la cita de colocación final.

Lavado y secado con aire de la preparación.

Arenado de la superficie de unión de la corona de circonio.

Aplicación de cemento de resina 3M™ RelyX™ Universal.

Colocación de la corona y salida del exceso de cemento.

Fotocurado inicial del exceso de cemento.

Limpieza del exceso de cemento con una sonda.

Situación final (vista bucal).

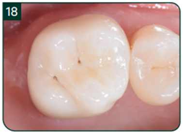
Situación final (vista oclusal).
Productos recomendados
Sobre el autor
Dr. Giuseppe Chiodera
El Dr. Giuseppe Chiodera se graduó en Odontología en la Universidad de Brescia en 2004. Ese mismo año, recibió una beca y siguió una formación de postgrado en el King's College de Londres. Desde 2004, también es propietario de una clínica privada en Brescia, dedicada principalmente a la odontología conservadora, restauraciones estéticas adhesivas, prevención, endodoncia y nuevas tecnologías. Es miembro honorario de StyleItaliano y le encanta desarrollar nuevas técnicas de tratamiento que simplifican los procedimientos diagnósticos y restaurativos.
Artículo publicado por un Distribuidor Certificado de Solventum
