Última publicación

Caso clínico: Un cemento para todas las restauraciones posteriores

Las restauraciones posteriores son difíciles Se pueden utilizar muchos materiales diferentes, directos o indirectos. En este caso clínico, un paciente joven tenía una corona despegada en el segundo premolar superior y dos restauraciones fallidas en el primer molar superior y el primer premolar superior. Cuando nos enfrentamos a una restauración múltiple, debe considerarse el enfoque … Read more

Artículos más leidos

Todos los artículos

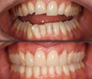
Descubre cómo la Dra. Ida Louise Line utiliza composite calentado

El efecto del composite calentado en la práctica clínica: caso de restauración dental con composite Han pasado muchos años desde que nos familiarizamos con el concepto de composite calentado. Por experiencia, el calentamiento produce un composite más fluido que se adapta más fácilmente al sustrato. Esto se aplica tanto si el sustrato está adherido a … Read more

  • Publicado el
  • Actualidad

Protocolo Clínico para la Reducción Interproximal (IPR)

¿QUÉ ES EL IPR? La creación de espacio para el movimiento dental es un aspecto fundamental en el tratamiento ortodóntico y puede lograrse mediante distintas estrategias. Entre ellas se incluyen la distalización, la expansión de la arcada, la proclinación de los dientes y la reducción del esmalte entre dientes (reducción interproximal). Solo al disponer del … Read more

  • Publicado el
  • Actualidad

Cementación adhesiva de postes

¡Mira cómo el Dr. Chiodera resolvió este caso! Explora el caso del Dr. Chiodera utilizando cemento de resina 3M™ RelyX™ Universal y adhesivo 3M™ Scotchbond™ Universal Plus para un procedimiento de trabajo simplificado. Sobre el caso Cementación autoadhesiva de poste y corona 3M Health Care ahora es Solventum. Prueba de ajuste del poste para evaluar … Read more

  • Publicado el
  • Actualidad

Corrector para sobremordida profunda y asimetrías

BT2 – Un dispositivo esencial para simplificar el tratamiento de la sobremordida profunda y maloclusiones asimétricas. El nuevo dispositivo miniaturizado BT2 ha sido diseñado para tratar la sobremordida profunda esquelética severa y las maloclusiones asimétricas. En las aplicaciones clínicas, el BT2 se posiciona y fija por el lado palatino de los incisivos centrales superiores, ubicados … Read more

Revestimiento de un armazón metálico

El composite CAD / CAM Grandio disc multicolor TD Jörg Schönthal, Alemania La tecnología CAD/CAM desempeña un papel cada vez más central en la odontología digital, especialmente en el ámbito del revestimiento protésico. El foco ya no se centra únicamente en los materiales tradicionales de cerámica u óxido de zirconio, sino que, gracias a los … Read more

Tratamiento de flúor eficiente y amigable para el paciente con menos flúor: ¡Descubre 3M™ Clinpro™ Clear!

Solventum (anteriormente 3M Health Care) ha reinventado el tratamiento de flúor. Después de un lanzamiento exitoso en Estados Unidos, el tratamiento de flúor 3M™ Clinpro™ Clear ahora está disponible para probar y comprar en el mercado europeo. Indicado para el tratamiento de dientes hipersensibles, este nuevo tratamiento de flúor está diseñado para mejorar la comodidad … Read more

Carilla anterior directa mediante un composite pararestauración en bloque universal con sistema detonos simplificado

Prof. Dr. Jürgen Manhart, Múnich Introducción En los tratamientos dentales en la zona anterior, el resultado estético desempeña un papel clave junto a los criterios funcionales. Si bien ambos aspectos revisten gran importancia para los odontólogos, muchos pacientes se concentran ante todo en la estética perfecta de las restauraciones. Afortunadamente, un gran número de pacientes … Read more

Caso clínico: Restauración lateral simple en forma de clavija

Acerca del caso ¿Qué puede tener de sencillo restaurar una pared lateral en forma de clavija? Con el composite universal 3M™ Filtek™ Easy Match, es fácil concentrarse en la forma, el contorno y la anatomía, al mismo tiempo que se logra un resultado estético de aspecto natural, sin preocuparse por las múltiples capas y colores … Read more

Composites fluidos: Dónde encajan en su flujo de trabajo dental

En el cuidado dental restaurador, los practicantes se enfrentan a numerosas variables que impactan significativamente en las decisiones de tratamiento. Factores como el tipo de restauración requerida, el historial de salud oral del paciente y sus prácticas de higiene oral juegan un papel crítico. Adicionalmente, los profesionales dentales deben balancear la necesidad de durabilidad con … Read more